티스토리 뷰
목차
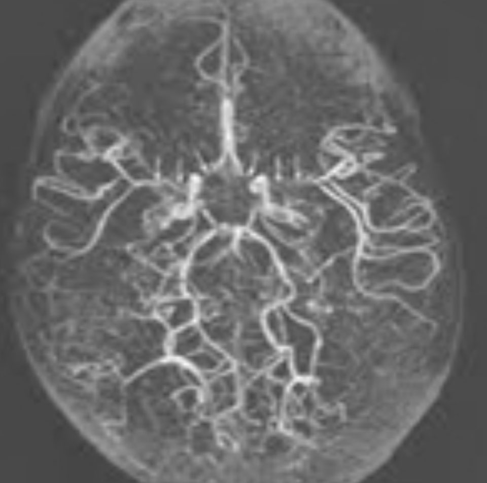
모야모야병은 뇌혈관 질환으로, 중대뇌동맥이 점차 좁아지거나 막히는 상태를 말합니다.
이로 인해 뇌에 혈액 공급이 원활하지 않게 되어 다양한 증상이 나타날 수 있습니다.
"갑자기 쓰러진 A씨가 모야모야 병이라니... 말도 안돼"
치명적인 모야모야병이 나도 모르는 사이에 우리에게 다가올 수가 있습니다.
하지만 두려워 하지 않으셔도 됩니다.
무서운 희귀질환인 모야모야병을 제대로 안다면 사전 예방으로 우리 건강을 지킬 수 있습니다.
"모야모야"라는 용어는 일본어로 '연기처럼 흐릿하게'라는 뜻으로, 혈관이 비정상적으로 확장되어 연기처럼 보이는 모습에서 유래되었습니다.

모야모야병의 주요 증상
모야모야병의 증상은 개인에 따라 다를 수 있지만, 일반적으로 다음과 같은 증상이 나타납니다
두통
갑작스럽고 심한 두통이 전조 증상으로 나타날 수 있습니다.
신경학적 증상
팔이나 다리의 힘이 빠지거나 마비되는 증상이 주로 한쪽에서 발생할 수 있습니다.
경련 및 발작
뇌의 전기적 과잉 활동으로 인해 발작이나 경련이 발생할 수 있습니다.
인지 기능 저하
기억력과 집중력이 떨어지는 현상이 나타날 수 있습니다.
시각 장애
시야의 일부가 보이지 않거나 복시가 발생할 수 있습니다.
기타 증상
어지럼증이나 정서적 변화(우울증, 불안 등)가 나타날 수 있습니다.
이러한 증상들은 갑작스럽게 발생할 수 있으며, 모야모야병이 진행됨에 따라 심각해질 수 있습니다.



모야모야병의 원인
모야모야병의 정확한 원인은 아직 밝혀지지 않았지만, 여러 요인이 복합적으로 작용하는 것으로 알려져 있습니다.
유전적 요인, 혈관 이상, 자가면역 질환, 환경적 요인 등으로 인하여 발병이 될수가 있습니다.
특히 가족력이나 특정 질환이 있는 경우 발병 위험이 높아질 수 있습니다.
이런 모야모야병도 발병원인만 알아두신다면 충분히 예방 할 수가 있습니다.
예방법이 그리 어렵지도 않습니다. 일상생활 습관만 조금 바꿔주면 되거든요.
어떤 원인이 있기에 예방이 쉬울까요?
'너무 쉬워서 이거였어?'하고 놀라실 지도 모릅니다. 아래에서 확인해 보시기 바랍니다.



모야모야병의 치료 방법
모야모야병의 치료는 주로 증상을 완화하고 뇌혈류를 개선하는 데 초점을 맞추고 있습니다.
치료 방법은 환자의 상태와 증상의 정도에 따라 달라질 수 있습니다.
약물 치료
항응고제나 항혈전제를 사용하여 혈액 응고를 방지하고 뇌졸중 예방에 도움을 줍니다.
수술 치료
혈관 우회 수술이나 동정맥 우회 수술을 통해 뇌에 더 많은 혈액을 공급합니다.
재활 치료
물리치료, 작업치료, 언어치료 등을 통해 기능 회복을 돕습니다.
정기적인 검진
증상의 변화나 새로운 증상 발생을 조기에 발견하기 위해 정기적인 검진이 중요합니다.



모야모야병의 유전적 가능성
모야모야병은 유전적 요인이 있을 수 있으며, 가족력이 있는 경우 발병 위험이 증가할 수 있습니다.
특정 유전자 변이나 특정 질환이 있는 환자에서 더 빈번하게 발생하는 경향이 있습니다.
연구는 계속 진행 중이며, 정확한 유전적 연관성 규명이 필요합니다.
혹시라도 내가 나도 모를 유전적 변이를 가지고 있다면 어떨까요? 생각만 해도 끔찍한데요?
'나는 아닐거야'라고 타협하고 싶으시죠?
하지만 간단하게 나의 유전적 환경으로 인한 발병 위험을 아래에서 확인해 보실 수가 있어요.
두려워하지 마시고 1분만에 그 두려움을 떨쳐 버리시기 바랍니다.



모야모야병 예방 방법
모야모야병을 완전히 예방할 수는 없지만 발병 위험을 줄이기 위한 방법은 있습니다.
정기적인 검진
뇌혈관 상태를 모니터링하고 유전적 상담을 통해 위험성을 체크합니다.
건강한 생활습관
균형 잡힌 식사와 규칙적인 운동을 통해 체중을 관리합니다.
스트레스 관리
명상, 요가, 취미 활동 등을 통해 스트레스를 줄입니다.
만성 질환 관리
고혈압, 당뇨병 등의 만성 질환을 적절히 관리하여 혈관 건강을 유지합니다.
흡연 및 음주 제한
금연하고 과도한 음주는 피합니다.
감염 예방
개인 위생을 철저히 하고 예방접종을 받습니다.
모야모야병은 복합적인 요인에 의해 발생하는 질환입니다.
위의 예방 방법을 종합적으로 실천하고, 증상이 의심되는 경우 즉시 전문의와 상담하는 것이 중요합니다.





